Unidad Temática 4 (Calidad HD)

Linfoma Gastrointestinal Felino & Enfermedad Inflamatoria Intestinal: Claves Diagnósticas y Terapéuticas

Prof. Pachi Clemente, Dipl. ACVIM-Oncology

Incluye Caso Clínico


Contenido de la Unidad Temática:

Linfoma Alimentario Felino: Localización y Clasificación

Linfoma Alimentario de Bajo Grado & de Alto Grado: ¿Suele ser Lesión Focal o Difusa?
Tiempo de Supervivencia en función del tipo de Linfoma Alimentario.

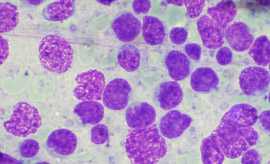
Linfoma Felino Digestivo: Claves Citológicas e Histopatológicas

Linfoma Linfocitico Granular: ¿Cuáles son los Hallázgos Citológicos?
Inmunofenotipo y Clonalidad Molecular en el Linfoma Alimentario: ¿Qué es lo Importante?
Afectación Transmural & Afectación de la Mucosa: ¿Qué varía en los Tiempos de Supervivencia?
Claves en la Impronta de las Biopsias: ¿Cómo debo tomarlas?

Diagnóstico Molecular, Inmunohistoquímica y Pruebas de Clonalidad

Algoritmo Diagnóstico para Diferenciar Linfoma de Inflamación en las Muestras de Biopsias de Intestino Delgado.
Prueba de Clonalidad PARR: ¿En qué me Ayuda en el Diagnóstico?
Inmunoglobulinas de Cadena Pesada & Inmunoglobulinas de Cadena Ligera: ¿Qué Utilidad tienen?
Biopsias Endoscópicas de Duodeno: ¿Cómo diferencio si es IBD o Linfoma?

Opciones de Tratamiento en los Linfomas Gastrointestinales Felinos de Bajo Grado

Uso de Clorambucilo: ¿Es Mejor usarlo a 2mg cada 48 horas o cada 72 horas?
Dosificando correctamente la Prednisona: ¿Me voy a 5 mg/24h o a 10 mg/24 horas?
¿Cómo manejo el Déficit de Cobalamina en estos Pacientes?
Buscando la Mayor Tasa de Supervivencia: ¿Cuál es mi Protocolo Favorito?
Uso de Lomustina como terapia de Rescate: ¿Cómo la Utilizo?
Eligiendo la Mejor Terapia de Rescate: Prednisona/Clorambucilo & Prednisona/Lomustina.

Opciones de Tratamiento en los Linfomas Gastrointestinales Felinos de Alto Grado y Complicaciones

Remisión Completa/ Remisión Parcial o No Respuesta: ¿Qué Respuesta me encontraré?
¿Qué Usar Protocolo CHOP, Protocolo COP o Protocolo CLOP?
Uso del Protocolo Wisconsin –Madison Modificado: ¿Qué Tasas de Remisión Obtendré?
¿Cuando decido añadir L-Asparraginasa a la Terapia?
Terapia de Rescate mediante el Uso de Doxorrubicina: ¿Por qué no suele Funcionar?
Perforación Gastrointestinal Postquimioterapia: ¿Es realmente Frecuente?

Bonus Extra

Casos Clínico

Sandi, Felino raza Siames de 11 años se presenta con:

• Obnubilación, Dolor Cervical
• Tetraparesis No Ambulatoria
• Dietas gastrointestinales
• Probióticos y Metronidazol



Información e Inscripción: administracion@vetexcellenceformacion.com. Tel. 913 263 866

s