Unidad Temática 5 (Calidad HD)

Claves en el Manejo de las Neoplasias de Células Plasmáticas: Más allá del Mieloma Múltiple

Prof. Juan Borrego, Dipl. ACVIM-Oncology


Incluye Caso Clínico

Contenido de la Unidad Temática:

Tipos de Sarcoma y Comportamiento Biológico

¿Por qué se forman las Proteinas de Bence-Jones en la Orina de estos Pacientes?
Macroglobulinemia de Waldenstrom’s: ¿Qué me indica su Presencia?

Claves Diagnósticas en el Mieloma Múltiple

¿Cuáles de los 3 Criterios Diagnósticos es suficiente detectar al menos uno en un paciente para poder diagnosticar Mieloma Múltiple?
¿Qué hallazgos específicos encontraré a nivel Urinario que me indican con Seguridad que un Paciente tiene Mieloma Múltiple?
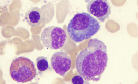
Hallázgos en el Aspirado de Médula Ósea: ¿Cuándo será Patognomónica su Citología?
Gammapatía Monoclonal: ¿Qué encontraré en la Electroforesis del Proteinograma?
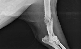
¿Qué Signos Radiológicos Osteolíticos son Patognomónicos de encontrar en estos Pacientes?

Claves en el Tratamiento del Mieloma Múltiple  

¿Cuándo debo realizar el Hemograma en un Paciente con Mieloma Múltiple que se está tratando con Melfalan?
¿Cuál es mi Protocolo de Dosificación del Melfalan?
Retirada de la Prednisona: ¿Cómo debe ser la Pauta Gradual en estos Pacientes?
¿Cuándo considero que un paciente con Mieloma Múltiple ha tenido una respuesta Completa al Tratamiento con Melfalan y Prednisona?
¿Qué tipo de Rescate podemos usar en casos de Mieloma Múltiple cuando el Melfalan deja de Funcionar?
¿Es realmente útil el uso de Clorambucilo como Fármaco de Rescate en estos Pacientes?
Protocolo de Rescate VAD: ¿Qué 3 fármacos incluye y en qué Casos suelo utilizarlo?
Uso Novedoso del Tanoeva: ¿Cómo debo administrarlo?
Uso del Ácido Zoledrónico para Tratar la Hipercalcemia en estos Pacientes.
¿Cuándo considero que la Respuesta a la Terapia es Excelente y cuanto suelo Conseguir?
¿Qué Tasa de Supervivencia Máxima voy a poder lograr?

Diagnóstico y Tratamiento del Paciente con Plasmocitoma Extramedular  

Factores Pronósticos en función de que la Localización sea Oral o Subcutáneo.
Plamocitoma Óseo Solitario: ¿Por qué no debo Tratarlo hasta que Desarrolle un Mieloma Múltiple?

Bonus Extra

Caso Clínico

Boomer, macho chowmix de 8 años se presenta con:

• Cojera miembro derecho anterior durante 3-4 semanas.
• Inflamación tejidos blandos circundantes.
• Dolor a la palpación del cúbito.



Información e Inscripción: administracion@vetexcellenceformacion.com. Tel. 913 263 866